Stomatolog czym się zajmuje?

Stomatolog to specjalista, który zajmuje się diagnostyką oraz leczeniem schorzeń zębów, jamy ustnej i okolicznych tkanek. W codziennej praktyce stomatologicznej lekarze wykonują szereg zabiegów, które mają na celu nie tylko leczenie, ale również profilaktykę. Do najczęstszych zadań stomatologa należy przeprowadzanie badań kontrolnych, które pozwalają na wczesne wykrycie problemów zdrowotnych. W trakcie wizyty stomatolog ocenia stan uzębienia pacjenta, wykonując zdjęcia rentgenowskie, które pomagają w identyfikacji ukrytych ubytków. Oprócz tego stomatolodzy zajmują się leczeniem próchnicy, co często wiąże się z wypełnianiem ubytków materiałem kompozytowym lub amalgamatem. W przypadku bardziej skomplikowanych przypadków, takich jak choroby przyzębia czy konieczność usunięcia zęba, stomatolog podejmuje odpowiednie kroki, aby zapewnić pacjentowi komfort i bezpieczeństwo.

Jakie są główne obszary działalności stomatologa?

Obszary działalności stomatologa są bardzo różnorodne i obejmują wiele specjalizacji. W ramach stomatologii ogólnej lekarze zajmują się przede wszystkim profilaktyką oraz leczeniem podstawowych schorzeń jamy ustnej. Warto jednak zwrócić uwagę na to, że stomatologia dzieli się na kilka wyspecjalizowanych dziedzin. Na przykład ortodoncja koncentruje się na diagnozowaniu i leczeniu wad zgryzu oraz nieprawidłowości w ustawieniu zębów. Stomatolodzy ortodontyczni stosują różnorodne aparaty ortodontyczne, które pomagają w korekcji zgryzu. Z kolei periodontologia zajmuje się chorobami przyzębia i tkanki otaczającej zęby, co jest kluczowe dla utrzymania zdrowia jamy ustnej. Inna ważna dziedzina to chirurgia stomatologiczna, która obejmuje zabiegi operacyjne takie jak ekstrakcje zębów czy implantacje. Dodatkowo stomatolodzy mogą specjalizować się w protetyce, czyli odbudowie utraconych zębów za pomocą protez czy koron.

Jakie są najczęstsze problemy zdrowotne rozwiązywane przez stomatologów?

Stomatolog czym się zajmuje?
Stomatolog czym się zajmuje?

W pracy stomatologa najczęściej spotykane problemy zdrowotne dotyczą schorzeń związanych z zębami oraz jamą ustną. Jednym z najpopularniejszych problemów jest próchnica, która dotyka dużą część populacji i prowadzi do powstawania ubytków w szkliwie zęba. Próchnica może być spowodowana niewłaściwą higieną jamy ustnej oraz dietą bogatą w cukry. Innym powszechnym schorzeniem są choroby przyzębia, które mogą prowadzić do zapalenia dziąseł oraz utraty zębów. Osoby cierpiące na te dolegliwości często zgłaszają się do stomatologa z objawami takimi jak krwawienie dziąseł czy nieprzyjemny zapach z ust. Stomatolodzy również często zajmują się leczeniem nadwrażliwości zębów, która może być wynikiem odsłonięcia szyjek zębowych lub erozji szkliwa. Problemy te mogą znacząco wpływać na komfort życia pacjentów i ich zdolność do spożywania pokarmów oraz picia napojów.

Jakie technologie wspierają pracę współczesnego stomatologa?

Współczesna stomatologia korzysta z wielu nowoczesnych technologii, które znacznie ułatwiają pracę dentystów oraz poprawiają komfort pacjentów. Jednym z kluczowych narzędzi wykorzystywanych w gabinetach dentystycznych są cyfrowe zdjęcia rentgenowskie, które pozwalają na szybsze i dokładniejsze diagnozowanie problemów zdrowotnych. Dzięki nim lekarze mogą uzyskać wyraźniejszy obraz stanu uzębienia pacjenta bez narażania go na nadmierne promieniowanie. Kolejnym innowacyjnym rozwiązaniem są skanery wewnętrzne, które umożliwiają tworzenie trójwymiarowych modeli uzębienia bez konieczności stosowania tradycyjnych odcisków. To znacząco zwiększa precyzję w planowaniu leczenia protetycznego czy ortodontycznego. Warto również wspomnieć o zastosowaniu laserów w stomatologii, które pozwalają na przeprowadzanie zabiegów chirurgicznych oraz leczenie próchnicy bez bólu i krwawienia.

Jakie są najważniejsze umiejętności stomatologa w pracy z pacjentami?

W pracy stomatologa kluczowe są nie tylko umiejętności techniczne, ale także interpersonalne, które pozwalają na skuteczne nawiązywanie relacji z pacjentami. Stomatolog musi być osobą empatyczną, potrafiącą słuchać i rozumieć obawy oraz lęki pacjentów związane z leczeniem dentystycznym. Wiele osób odczuwa strach przed wizytą u dentysty, dlatego ważne jest, aby lekarz potrafił stworzyć przyjazną atmosferę, która zminimalizuje stres pacjenta. Umiejętność wyjaśniania procedur medycznych w sposób zrozumiały dla pacjenta jest równie istotna. Pacjenci powinni czuć się pewnie i dobrze poinformowani o tym, co ich czeka podczas wizyty oraz jakie będą następstwa przeprowadzonych zabiegów. Dodatkowo stomatolog powinien być osobą cierpliwą, gotową do odpowiadania na pytania i rozwiewania wątpliwości. Współczesny stomatolog musi również wykazywać się zdolnościami manualnymi, które są niezbędne do precyzyjnego wykonywania zabiegów. Praca w małych przestrzeniach jamy ustnej wymaga dużej zręczności oraz koordynacji ruchowej.

Jakie są zalety regularnych wizyt u stomatologa?

Regularne wizyty u stomatologa mają kluczowe znaczenie dla zachowania zdrowia jamy ustnej oraz ogólnego samopoczucia. Przede wszystkim pozwalają na wczesne wykrycie problemów zdrowotnych, takich jak próchnica czy choroby przyzębia, zanim staną się one poważniejsze i wymagają bardziej skomplikowanego leczenia. Dzięki regularnym kontrolom stomatolog może monitorować stan uzębienia pacjenta oraz dostosowywać zalecenia dotyczące higieny jamy ustnej. Wizyty te są również okazją do przeprowadzenia profesjonalnego czyszczenia zębów, które usuwa osad i kamień nazębny, co przyczynia się do zmniejszenia ryzyka wystąpienia chorób dziąseł. Kolejną zaletą regularnych wizyt jest możliwość uzyskania indywidualnych wskazówek dotyczących diety oraz pielęgnacji jamy ustnej, co może pomóc w utrzymaniu zdrowego uśmiechu na dłużej. Warto również podkreślić, że osoby regularnie odwiedzające stomatologa często unikają kosztownych zabiegów naprawczych związanych z zaawansowanymi problemami zdrowotnymi.

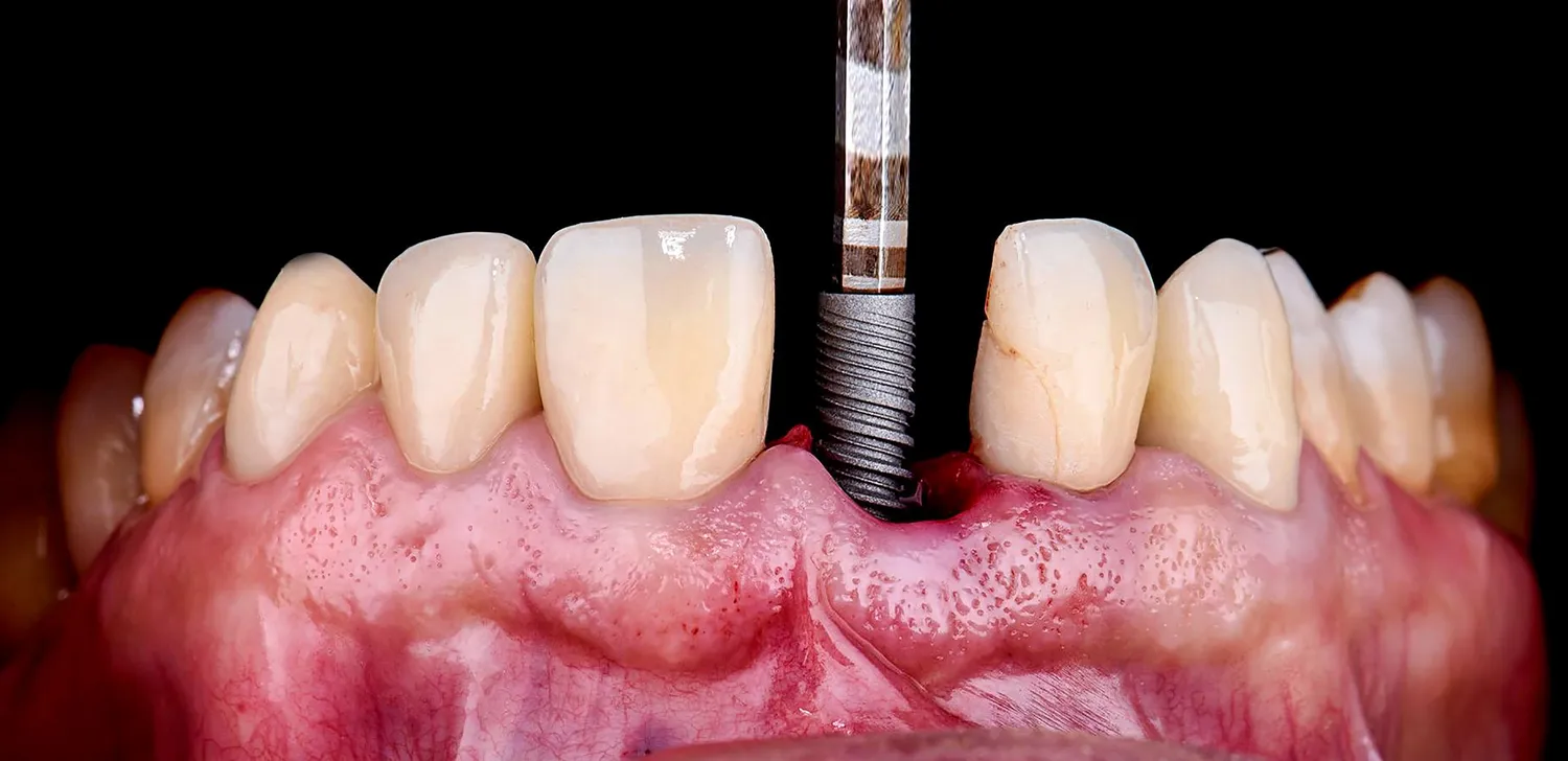
Jakie są nowoczesne metody leczenia stosowane przez stomatologów?

Nowoczesna stomatologia oferuje szereg innowacyjnych metod leczenia, które znacznie poprawiają komfort pacjentów oraz efektywność terapii. Jedną z takich metod jest zastosowanie technologii CAD/CAM do projektowania i produkcji protez oraz koron dentystycznych. Dzięki tej technologii możliwe jest wykonanie spersonalizowanych uzupełnień protetycznych w krótkim czasie, co eliminuje konieczność noszenia tymczasowych rozwiązań. Kolejnym przykładem nowoczesnego leczenia jest wykorzystanie implantów dentystycznych jako trwałego rozwiązania dla osób z brakami w uzębieniu. Implanty są wszczepiane w kość szczęki i pełnią funkcję korzeni zębów, co pozwala na odbudowę naturalnego wyglądu i funkcji żucia. Stomatolodzy coraz częściej sięgają także po metody minimalnie inwazyjne, takie jak ozonoterapia czy laseroterapia, które pozwalają na skuteczne leczenie próchnicy bez konieczności borowania. Ozonoterapia polega na stosowaniu ozonu do dezynfekcji i regeneracji tkanek, natomiast laseroterapia umożliwia precyzyjne usuwanie tkanek patologicznych bez uszkadzania zdrowych struktur.

Jakie są najczęstsze mity dotyczące stomatologii?

Wokół stomatologii krąży wiele mitów i nieporozumień, które mogą wpływać na decyzje pacjentów dotyczące ich zdrowia jamy ustnej. Jednym z najczęstszych mitów jest przekonanie, że wizyty u dentysty są zawsze bolesne i nieprzyjemne. W rzeczywistości nowoczesne techniki znieczulenia oraz metody leczenia minimalizują ból i dyskomfort podczas zabiegów. Innym powszechnym mitem jest to, że tylko dzieci powinny regularnie odwiedzać stomatologa; dorośli również potrzebują kontroli stanu uzębienia oraz profilaktyki chorób jamy ustnej. Kolejnym błędnym przekonaniem jest to, że jeśli ząb nie boli, to nie ma potrzeby udawania się do dentysty. Wiele schorzeń rozwija się bezobjawowo, dlatego regularne kontrole są kluczowe dla zachowania zdrowia jamy ustnej. Niektórzy ludzie wierzą również, że wybielanie zębów jest szkodliwe; jednak przy odpowiednich metodach przeprowadzanych przez specjalistów jest to bezpieczny proces.

Jakie znaczenie ma profilaktyka w stomatologii?

Profilaktyka odgrywa kluczową rolę w stomatologii i ma ogromny wpływ na zdrowie jamy ustnej oraz ogólne samopoczucie pacjentów. Regularna higiena jamy ustnej obejmująca szczotkowanie zębów dwa razy dziennie oraz nitkowanie pomaga w usuwaniu płytki nazębnej i zapobiega powstawaniu próchnicy oraz chorób dziąseł. Stomatolodzy zalecają także stosowanie past zawierających fluor, który wzmacnia szkliwo i chroni przed demineralizacją zębów. Ważnym elementem profilaktyki są również regularne wizyty kontrolne u dentysty, które pozwalają na wczesne wykrycie problemów zdrowotnych oraz ich skuteczne leczenie zanim staną się poważniejsze. Dodatkowo edukacja pacjentów na temat zdrowego stylu życia i diety ma duże znaczenie; ograniczenie spożycia cukrów oraz unikanie palenia tytoniu przyczyniają się do zmniejszenia ryzyka wystąpienia chorób jamy ustnej.

Jakie wyzwania stoją przed współczesnymi stomatologami?

Współczesna stomatologia stawia przed lekarzami wiele wyzwań związanych zarówno z postępem technologicznym, jak i zmieniającymi się oczekiwaniami pacjentów. Jednym z głównych wyzwań jest konieczność ciągłego doskonalenia swoich umiejętności oraz aktualizacji wiedzy na temat nowych metod leczenia i technologii. Stomatolodzy muszą być gotowi do uczestnictwa w szkoleniach oraz konferencjach branżowych, aby nadążać za dynamicznymi zmianami w swojej dziedzinie. Kolejnym wyzwaniem jest rosnąca konkurencja na rynku usług dentystycznych; lekarze muszą dbać o jakość świadczonych usług oraz budować pozytywne relacje z pacjentami, aby wyróżnić się spośród innych gabinetów dentystycznych. Zmiany demograficzne społeczeństwa również wpływają na praktykę stomatologiczną; starzejące się społeczeństwo wymaga dostosowania oferty do potrzeb osób starszych oraz osób cierpiących na przewlekłe schorzenia.