Implanty zębów jak to się robi?

Zakup implantów zębowych to proces, który wymaga staranności i przemyślenia. Pierwszym krokiem jest konsultacja z dentystą, który oceni stan zdrowia jamy ustnej oraz zdecyduje, czy pacjent kwalifikuje się do zabiegu. W trakcie wizyty lekarz przeprowadza szczegółowe badania, w tym zdjęcia rentgenowskie, aby dokładnie zobaczyć strukturę kości i zębów. Po ocenie stanu zdrowia pacjenta lekarz przedstawia plan leczenia, który może obejmować różne etapy, takie jak wszczepienie implantu, czas gojenia oraz umieszczenie korony na implancie. Ważne jest również omówienie kosztów związanych z zabiegiem oraz możliwości finansowania. W przypadku braku wystarczającej ilości kości może być konieczne przeprowadzenie dodatkowych procedur, takich jak augmentacja kości. Po zaakceptowaniu planu leczenia pacjent umawia się na zabieg wszczepienia implantu, który zazwyczaj odbywa się w znieczuleniu miejscowym.

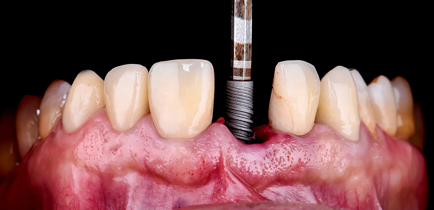
Jak wygląda proces wszczepienia implantów zębowych?

Proces wszczepienia implantów zębowych składa się z kilku kluczowych etapów, które są niezbędne do osiągnięcia trwałych i estetycznych efektów. Po wcześniejszej konsultacji i przygotowaniach pacjent zostaje poddany zabiegowi chirurgicznemu, podczas którego lekarz wykonuje niewielkie nacięcie w dziąśle, aby odsłonić kość szczęki. Następnie wprowadza implant, który jest wykonany z biokompatybilnego materiału, takiego jak tytan. Implant jest umieszczany w kości szczęki, co pozwala na jego integrację z tkankami kostnymi w procesie zwanym osteointegracją. Po wszczepieniu implantu pacjent otrzymuje instrukcje dotyczące pielęgnacji jamy ustnej oraz zalecenia dotyczące diety i aktywności fizycznej w okresie gojenia. Czas gojenia może trwać od kilku tygodni do kilku miesięcy, w zależności od indywidualnych warunków zdrowotnych pacjenta oraz lokalizacji implantu.

Jakie są zalety i wady implantów zębowych?

Implanty zębów jak to się robi?
Implanty zębów jak to się robi?

Implanty zębowe mają wiele zalet, które przyciągają pacjentów poszukujących skutecznych rozwiązań dla brakujących zębów. Jedną z najważniejszych korzyści jest ich trwałość – przy odpowiedniej pielęgnacji mogą służyć przez wiele lat lub nawet całe życie. Implanty zachowują naturalny wygląd zębów i nie wpływają na sąsiednie zęby, co jest istotne dla zachowania zdrowia jamy ustnej. Dodatkowo pomagają w utrzymaniu struktury kości szczęki, zapobiegając jej zanikanie po utracie zęba. Jednakże istnieją również pewne wady związane z tym rozwiązaniem. Koszt implantów może być znaczny i nie każdy pacjent ma możliwość ich sfinansowania. Ponadto zabieg wszczepienia implantu wiąże się z ryzykiem powikłań, takich jak infekcje czy problemy z integracją implantu z kością. Osoby cierpiące na pewne schorzenia ogólne lub stomatologiczne mogą nie kwalifikować się do zabiegu.

Jak dbać o implanty zębowe po ich wszczepieniu?

Prawidłowa pielęgnacja implantów zębowych jest kluczowa dla ich długowieczności i zdrowia jamy ustnej. Po zabiegu ważne jest przestrzeganie zaleceń lekarza dotyczących higieny oraz diety. Zaleca się unikanie twardych pokarmów przez pierwsze dni po operacji oraz stosowanie zimnych okładów w celu zmniejszenia obrzęku. Codzienna higiena jamy ustnej powinna obejmować delikatne szczotkowanie zarówno naturalnych zębów, jak i okolic implantu przy użyciu miękkiej szczoteczki do zębów oraz pasty zawierającej fluor. Należy również regularnie stosować nici dentystyczne lub irygatory do oczyszczania trudno dostępnych miejsc wokół implantu. Wizyty kontrolne u stomatologa powinny odbywać się co najmniej raz na sześć miesięcy, aby monitorować stan zdrowia jamy ustnej oraz ewentualnie usunąć osad nazębny lub kamień nazębny.

Jakie są najczęstsze pytania dotyczące implantów zębowych?

Wiele osób zastanawia się nad różnymi aspektami związanymi z implantami zębowymi, co prowadzi do wielu pytań. Jednym z najczęściej zadawanych pytań jest to, jak długo trwa cały proces leczenia. Czas potrzebny na wszczepienie implantu oraz jego integrację z kością może wynosić od kilku miesięcy do nawet roku, w zależności od indywidualnych warunków pacjenta i rodzaju zabiegów towarzyszących. Kolejnym istotnym pytaniem jest to, czy zabieg jest bolesny. Wszczepienie implantu odbywa się zazwyczaj w znieczuleniu miejscowym, co minimalizuje ból podczas samego zabiegu. Po operacji pacjenci mogą odczuwać dyskomfort, który można złagodzić odpowiednimi lekami przeciwbólowymi. Inne pytania dotyczą kosztów związanych z implantami oraz możliwości ich finansowania. Pacjenci często poszukują informacji na temat dostępnych planów płatności lub ubezpieczeń zdrowotnych, które mogą pokrywać część kosztów.

Jakie są alternatywy dla implantów zębowych?

Choć implanty zębowe są popularnym rozwiązaniem dla osób z brakującymi zębami, istnieją także inne opcje, które warto rozważyć. Jedną z najczęściej stosowanych alternatyw są mosty dentystyczne, które polegają na umieszczeniu sztucznych zębów pomiędzy dwoma zdrowymi zębami. Mosty mogą być mniej inwazyjne niż implanty, ale wymagają szlifowania sąsiednich zębów, co może osłabić ich strukturę. Inną opcją są protezy ruchome, które można łatwo zdjąć i założyć. Protezy są tańsze niż implanty, ale mogą być mniej wygodne i stabilne w porównaniu do stałych rozwiązań. Dla niektórych pacjentów odpowiednie mogą być także nakładki na zęby, które poprawiają estetykę uśmiechu bez konieczności przeprowadzania skomplikowanych zabiegów chirurgicznych. Wybór odpowiedniej metody zależy od indywidualnych potrzeb pacjenta oraz jego stanu zdrowia jamy ustnej.

Jakie są koszty związane z wszczepieniem implantów zębowych?

Koszty związane z wszczepieniem implantów zębowych mogą się znacznie różnić w zależności od wielu czynników. Przede wszystkim cena implantu obejmuje nie tylko sam materiał wszczepiany do kości, ale także koszty związane z konsultacjami, badaniami diagnostycznymi oraz zabiegami chirurgicznymi. W zależności od lokalizacji gabinetu stomatologicznego oraz doświadczenia lekarza ceny mogą sięgać od kilku tysięcy do nawet kilkunastu tysięcy złotych za jeden implant. Dodatkowo należy uwzględnić koszty związane z koroną protetyczną, która jest umieszczana na implancie po zakończeniu procesu gojenia. Warto również pamiętać o ewentualnych dodatkowych procedurach, takich jak augmentacja kości czy sinus lift, które mogą zwiększyć całkowity koszt leczenia. Wiele klinik oferuje różne formy finansowania lub płatności ratalnych, co może ułatwić pacjentom sfinansowanie zabiegu.

Jakie są ryzyka związane z wszczepieniem implantów?

Decyzja o wszczepieniu implantów zębowych wiąże się nie tylko z korzyściami, ale także pewnymi ryzykami i potencjalnymi powikłaniami. Jednym z najczęstszych problemów jest ryzyko infekcji w miejscu wszczepienia implantu. Infekcje mogą prowadzić do stanów zapalnych dziąseł oraz utraty implantu, dlatego ważne jest przestrzeganie zasad higieny jamy ustnej po zabiegu. Innym zagrożeniem jest niewłaściwa integracja implantu z kością, co może skutkować jego luzowaniem lub całkowitą utratą. Często przyczyną tego problemu są czynniki takie jak palenie papierosów czy choroby ogólnoustrojowe wpływające na proces gojenia. Ponadto pacjenci mogą doświadczać bólu lub dyskomfortu po zabiegu, co jest naturalną reakcją organizmu na interwencję chirurgiczną. Ważne jest również monitorowanie stanu zdrowia jamy ustnej przez regularne wizyty kontrolne u stomatologa w celu wykrycia ewentualnych problemów we wczesnym stadium.

Jakie są nowoczesne technologie w dziedzinie implantologii?

Nowoczesna implantologia korzysta z zaawansowanych technologii, które znacznie poprawiają efektywność i bezpieczeństwo zabiegów wszczepienia implantów zębowych. Jednym z najważniejszych osiągnięć jest wykorzystanie tomografii komputerowej do precyzyjnego planowania zabiegów chirurgicznych. Dzięki tej technologii lekarze mogą dokładnie ocenić strukturę kości oraz zaplanować optymalne miejsce wszczepienia implantu, co minimalizuje ryzyko powikłań i zwiększa szanse na sukces leczenia. Kolejnym innowacyjnym rozwiązaniem jest zastosowanie systemu cyfrowego skanowania 3D do tworzenia modeli anatomicznych pacjentów, co umożliwia jeszcze dokładniejsze dopasowanie implantu do indywidualnych potrzeb pacjenta. W ostatnich latach rozwija się także technologia szybkiego gojenia poprzez zastosowanie biomateriałów wspomagających regenerację tkanki kostnej oraz nowoczesnych metod chirurgicznych takich jak metoda „all-on-4”, która pozwala na jednoczesne wszczepienie kilku implantów w jednym dniu.

Jakie są opinie pacjentów o implantach zębowych?

Opinie pacjentów dotyczące implantów zębowych są zazwyczaj pozytywne i wskazują na wysoką satysfakcję z efektów leczenia. Wielu pacjentów podkreśla znaczenie poprawy jakości życia po wszczepieniu implantów – odzyskują oni możliwość swobodnego jedzenia i mowy bez obaw o wypadnięcie protezy czy dyskomfort związany z mostami dentystycznymi. Pacjenci często chwalą również estetykę uzyskanych efektów – implanty wyglądają bardzo naturalnie i nie różnią się od własnych zębów. Jednak niektórzy pacjenci zwracają uwagę na koszty związane z tym rozwiązaniem oraz czasochłonność całego procesu leczenia jako czynniki wpływające na ich decyzję o wyborze tej metody rehabilitacji stomatologicznej. Warto również zauważyć, że doświadczenia pacjentów mogą być różne w zależności od ich indywidualnych warunków zdrowotnych oraz jakości usług świadczonych przez gabinety stomatologiczne.